Links between mental and physical health in dentistry

Luke Hutchings looks at how we can use the links between mental and physical health to improve our wellbeing. There are so many different facets of health that w e often break them down into groups to make them more manageable – oral, physical and mental, for example. However, these lines are becoming ever more […]
Dentistry Live: Endodontics 1

Join Sagi Shavit on 21 March at 7pm for Endodontics 1 – a live demonstration of a root canal treatment, streamed directly from The Campbell Academy. Tune in to witness one of the UK’s leading dental experts provide a step-by-step guide to this complex procedure. This session is designed for dentists who wish to refine […]
Catch up with this week’s dental news – 16 March 2024

It’s been a busy week for dental news. Missed it? Here’s what’s happened over the past seven days… Only 15% dental practices are fully NHS, data shows Only 15% of dental practices are fully NHS, according to new statistics, while three in five dentists work 30 hours or less each week. This is according to new […]
Sugar Acid Neutraliser – target childhood caries

Colgate discusses some of the causative and protective factors contributing to the prevalence of childhood caries. Improving the oral health of children is a priority for the Office for Health Improvement and Disparities. Their ambition is that every child will be free of dental caries. This will enable them to have the best start in […]
Holistic dentistry: Patients support weight management during routine dental appointments

LOUGHBOROUGH, UK: In response to the global obesity crisis and its proven connection to oral health, researchers from Loughborough University have conducted a first-of-its-kind study that explored both dental professionals’ and the public’s perspectives on integrating weight management interventions within the dental setting. Even though the research team identified potential barriers, the study results showed […]
The 2024 North of England Dentistry Show – ‘one of the best’

‘I’d definitely advise coming along’: The 2024 North of England Dentistry took place last weekend. Missed out? Find out what the attendees thought and what went on… The 2024 North of England Dentistry – FMC’s biggest show yet – took place last Saturday 9 March at Manchester Central Convention Centre. With the highest number of […]
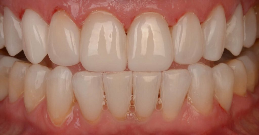
Flowable injection technique—a composite revolution with CLEARFIL MAJESTY ES Flow Low

A specialist in minimally invasive dentistry, Dr Michał Jaczewski graduated from Wroclaw Medical University in 2006, and today he runs his own private practice in the city of Legnica in Poland. In this clinical case, a patient presented to Dr Jaczewski’s practice wishing to improve the aesthetics of her smile. After an aesthetic and functional […]
Connecting orthodontics and wellbeing

Saba Qureshi discusses how orthodontic treatment impacts patient wellbeing and whether it differs for each type of treatment. It has been well documented that smiling is good for our physical and mental wellbeing. Smiling releases feel-good neurotransmitters, such as: Endorphins: the body’s natural pain reliever. Levels may also increase when you engage in reward-producing activities […]
Clinical Case: Bulk Fill Composite in Class I

The post Clinical Case: Bulk Fill Composite in Class I appeared first on 3M Dental Blog.
Immediate versus delayed implants – the decision making tree

Join Imi Nasser on Wednesday 20 March as he discusses immediate versus delayed implants – the decision making tree. The aim of this webinar is to understand the treatment planning decisions when deciding between immediate or delayed implant placement. Learning outcomes Understand the benefits of immediate implant placement Understand the benefits of delayed implant placement […]