Dentists join exodus as one in five Ukrainians in south east return home

A dentist is among the one in five Ukrainians in the south east who are opting to return home, prompting concerns over barriers to secure work and accommodation for refugees. A BBC investigation reveals that one fifth of Ukrainians who arrived in Surrey, Kent and Sussex as part of a government visa scheme have returned […]
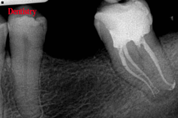
Long-term study finds no peri‑implantitis around two‑piece Patent implants

ZURICH, Switzerland: At a press event in Zurich on 15 February, Dr Roland Glauser, a Zurich-based expert in comprehensive implantology, highlighted peri-implantitis as a primary challenge in implant dentistry, a view supported by leading dental associations. Research shows that nearly half of patients experience peri-implant mucositis, often leading to peri-implantitis, which affects 22% of patients […]
Intra-oral scanners helpful in paediatric dental communication—study

GIESSEN, Germany: Researchers in Germany have studied the efficacy of intra-oral scanners as a communication tool in paediatric dentistry by comparing the comprehension of information provided in verbal explanations with that supplemented by a scan of the patient’s mouth. According to the researchers, the technology had a positive effect, and the use of intra-oral scans […]
‘You will face a lot of judgement’ – succeeding in business as a woman in dentistry

Anushika Brogan explains how the dental landscape is changing as more women enter business and why it is crucial that they are properly supported. For a long time, there have been many women in dentistry, but opportunities for higher positions have often been limited. I wanted to demonstrate and inspire women to believe that they […]
The power of DISC personality profiling

This month, Tracie Barnett explores the DISC personality model, and how it can unlock effective communication both within teams and between dental professionals and patients. In the dynamic field of dentistry, effective communication is the cornerstone of successful patient care and team collaboration. Understanding and adapting to different personality types can significantly enhance interactions with […]
Can the dental recovery plan deliver real change?

Nigel Jones weighs up the pros and cons of the recently announced dental recovery plan – does it represent real reform or an attempt by the government to appear in control? The publication of the government’s dental recovery plan (DRP) has at least sparked off considerable debate about how NHS dentistry in England got into […]
Nickel titanium files – high-end technology for simplicity

Philippe Sleiman explores the uses of nickel titanium files for a simplified approach to complex root canal treatment. Since nickel titanium (NiTi) files were introduced into root canal therapy, engineers have been seeking the perfect design and combination for optimal root canal therapy. Heat treatment and twisting of NiTi was a major breakthrough in this […]
Frontzahnästhetik mit Komposit

Vor-Ort-Event Die Verarbeitung von Komposit in der Front stellt eine tägliche Herausforderung im Praxisalltag dar. Insbesondere bei sehr komplexen Schichttechniken und morphologisch ungünstigen Verhältnissen – wie zum Beispiel dem Verschluss von schwarzen Interdentaldreiecken – stößt man aufgrund von Zeitmangel in der Routinepraxis schnell an die Grenze des Machbaren. Vereinfachte Schichttechniken bis zur Einschichttechnik sowie rationelle […]
Frontzahnästhetik mit Komposit

Vor-Ort-Event Die Verarbeitung von Komposit in der Front stellt eine tägliche Herausforderung im Praxisalltag dar. Insbesondere bei sehr komplexen Schichttechniken und morphologisch ungünstigen Verhältnissen – wie zum Beispiel dem Verschluss von schwarzen Interdentaldreiecken – stößt man aufgrund von Zeitmangel in der Routinepraxis schnell an die Grenze des Machbaren. Vereinfachte Schichttechniken bis zur Einschichttechnik sowie rationelle […]
Frontzahnästhetik mit Komposit

Vor-Ort-Event Die Verarbeitung von Komposit in der Front stellt eine tägliche Herausforderung im Praxisalltag dar. Insbesondere bei sehr komplexen Schichttechniken und morphologisch ungünstigen Verhältnissen – wie zum Beispiel dem Verschluss von schwarzen Interdentaldreiecken – stößt man aufgrund von Zeitmangel in der Routinepraxis schnell an die Grenze des Machbaren. Vereinfachte Schichttechniken bis zur Einschichttechnik sowie rationelle […]