Ensuring predictable results in clear aligner therapy

NEW YORK, US: For many consumers, clear aligner therapy is dentistry the way it should be—aesthetic, convenient and a good fit for busy daily work or school life. For dentists and orthodontists, clear aligners present an opportunity to gain new patients, to secure a new revenue stream and to make the most of the latest […]
How to avoid mistakes when loading your steriliser

Decon Pete explains everything that can go wrong when loading your steriliser and how to avoid some common mistakes. This month we are going to focus on the importance of loading your steriliser correctly. Whether you are using an N, S or B class autoclave it is incredibly important to ensure that the chamber is […]
Why implants fail

Join Fadi Barrak on Tuesday 14 November at 7pm as he discusses why implants fail – sign up now! This webinar, presented by Fadi Barrak, will focus on some of the main reasons behind implant failures. Throughout the webinar, Fadi will increase awareness of key concepts of implant health and disease, while developing understanding of […]
Dürr Dental celebrates 50 years of business in Japan with an Oktoberfest in Kobe

KOBE, Japan: Dürr Dental, which supplies systems solutions to dental practices and laboratories, celebrated its 50th anniversary of operating in the Japanese market with a jovial Oktoberfest at its subsidiary in Kobe. More than 70 guests, including dealers, dentists, dental experts and representatives of chambers of commerce and publishing houses attended the anniversary event.
NHS to offer artificial pancreas to patients with type 1 diabetes

More than 150,00 adults and children with type 1 diabetes will soon be eligible for an artificial pancreas on the NHS. Experts have described the device as a ‘game changer’, saying it will save money for the NHS. The ‘hybrid closed loop’ uses a continuous glucose monitor attached to the body to sense and correct […]
Recommending the right powered brush for orthodontic patients

During orthodontic therapy, only excellent oral hygiene leads to excellent results. However, dental professionals are not always sure of recommendations to make to orthodontic patients regarding powered toothbrushes. In this interview, Dr Sercan Akyalcin, director of the Advanced Graduate Education Program in Orthodontics at Harvard School of Dental Medicine in the US, discusses Curaprox’s Hydrosonic […]
Bringing CBCT imaging in-house

Dr Kain Rowlings, principal dentist at The Dentists Old Market, Bristol, reflects on his journey to digital dentistry and why he knew the time had come to invest in a CBCT machine. When I took over the practice over six years ago, there was little sign of digital dentistry. Since then, we’ve introduced an array […]
Mouth cancer cases increase by 12%, new data shows

The British Dental Association (BDA) has called for urgent action on mouth cancer, stressing that dental access can be the ‘difference between life and death’. The association cited new data which shows that there were 9,860 cases of mouth cancer in the UK in 2020/21. This was an increase of 12% from the previous year. […]
The role of sedation techniques in special care dentistry

Dr Shilpa Shah has developed a range of sedation techniques to suit the needs of patients whose ability to access dental care is affected by factors such as disability or dental anxiety. Shilpa Shah dedicates her efforts to championing dentistry and ensuring equitable dental access for everyone. Her unwavering commitment elevates others as she develops […]
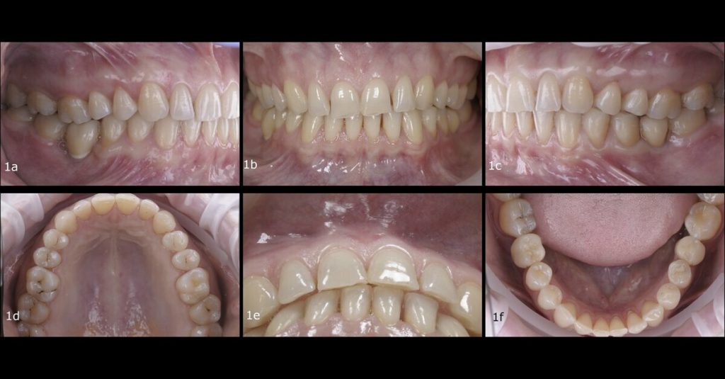
Interdisciplinary treatment of an adult patient with worn anterior teeth

The process of decision making is nowadays influenced by the continuous flux of information, the advancement of technology and the development of new protocols and evidence-based procedures, but the most powerful tool that we have available is collaboration with other specialists. Published in 2010, a study conducted by the Massachusetts Institute of Technology and Union […]