Orthodontic open days: converting visitors into patients

Open days are a great way to attract orthodontic patients – David Nelkin shares a systematic approach with eight simple steps to bring a 100% conversion rate. I’ve just reviewed the results from an Invisalign open day we ran with a client: Six months earlier, the same practice ran an open day with only four…
Planmeca marks the opening of its newly renovated showroom in Helsinki

HELSINKI, Finland: The Planmeca Group companies in Finland have recently celebrated the grand opening of the newly renovated Planmeca showroom in the Herttoniemi neighbourhood of Helsinki. Designed to offer top-tier facilities for demonstrating state-of-the-art dental and medical technology, the revamped showroom provides an ideal environment for visitors to explore the full product range and attend […]
Study links adolescent tooth loss to bullying

MELBOURNE, Australia: Tooth loss can have a profound impact on social interactions and self-esteem. While poor oral health is known to be associated with various forms of social disadvantage, the link between tooth loss and bullying has received little attention. A recent study by researchers from the University of Melbourne has found that adolescents who […]
Maintaining optimal oral health during orthodontic treatment

Marissa Bell advises dental professionals on how to help patients maintain oral health and hygiene while undergoing orthodontic treatment. For many people, embarking on orthodontic treatment represents an exciting step towards the smile they’ve always dreamed of. Yet it’s also a time when established oral care routines need to evolve significantly in parallel. Specialist orthodontist…
The advent of diagnostic testing in dentistry

Victoria Sampson explores diagnostic testing and how it can improve the patient journey. For nearly a century, our medical colleagues have been using diagnostic testing – such as blood chemistry and bacteriology – to improve diagnostics and enhance the patient journey. In the early 1950s, scientists started to realise the need for evidence-based medicine. They…
Protect your revenue, not just your reputation: the financial case for robust consent in dentistry

Join Biju Krishnan on Thursday 2 October at 7pm as he explains how the financial benefits of robust consent in dentistry can protect both your revenue and your reputation. In today’s world of cosmetic and private dentistry, a single incomplete consent form can cost you far more than your reputation. It can cost you thousands…
How To Care For Your Dental Implants

Post Content
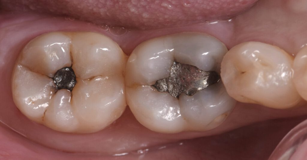
Amalgam replacement with flowable composite

For many clinicians, flowable composites are seen as a useful liner or base material below stronger, packable composites or indirect restorations, or as a temporisation material. A common misconception is that their use is limited, owing to poor mechanical properties. Several latest-generation flowable composites have mechanical properties that are on par with those of many […]
Study demonstrates potential of IOS-based teledentistry for paediatric dental assessments

GIESSEN, Germany: To expand access to paediatric care beyond the traditional clinical setting, the application of asynchronous teledentistry is gaining interest. A recent study from Germany compared findings from intra-oral scans (IOSs) with standard visual dental examinations in children to determine whether paediatricians could use IOSs to provide diagnoses and treatment recommendations reliably compared with […]
Childhood tooth decay hospitalisations rise in ‘public health emergency’

Tooth decay remains the most common cause of childhood hospital admissions, according to newly-published NHS England data. The figures show that 21,162 children aged 5 to 9 were admitted to hospital for tooth decay in 2024/2025. This was was 65% higher than the next most common cause, which was acute tonsillitis at 13,667 admissions. The…