Smile transformation with custom-made veneers: case study

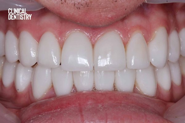
Manrina Rhode presents a case in which she helps a patient achieve a larger, whiter, more aesthetic smile using 20 IPS Emax lithium disilicate glass-ceramic veneers A 32-year-old patient presented at DRMR in 2020. He wanted a makeover that would give him larger, brighter, whiter teeth and a more perfect-looking, ‘Hollywood’ smile (Figure 1). A…
Monetised recommendations: unlock hidden profits in your patient base

Philips introduces Your Dentist Recommends, a service which allows dentists to easily make recommendations, ensure that they are followed and earn profit from the sales. It is believed that anywhere from 30 to 60% of product recommendations may not be acted upon by patients, and as a result a significant portion of prospective sales can…
Oral microbiota may serve as a biomarker for early autism screening

HONG KONG: Autism spectrum disorder (ASD) is a global public health concern. Early identification and timely support for children with ASD can significantly enhance their likelihood of independent living and improved social functioning. However, this neurodevelopmental disorder is often diagnosed later in life, and screening methods mostly rely on subjective teacher and parent assessments. In […]
Oral lichen planus: managing symptoms in patients

We hear from Mike Lewis, professor of oral medicine at Cardiff University, who explains how oral lichen planus manifests and what he advises patients to prevent plaque build up. Lichen planus is a chronic inflammatory condition that affects the skin, hair, nails, and mucous membranes, including the oral cavity. It manifests as purplish, itchy, flat-topped…
Happy National Dental Hygienist and Dental Therapist Day 2025

Dentistry is delighted to celebrate National Dental Hygienist and Dental Therapist Day for its second year – here we detail why it’s important to recognise and celebrate these integral roles. Last year, Dentistry announced the launch of a new national celebration: National Dental Hygienist and Dental Therapist Day, held annually on 1 May. Created in association…
The future of dental SEO: how to stay ahead in an AI-driven world

Join David Nelkin on Wednesday 7 May at 7pm as he discusses the future of dental SEO: how to stay ahead in an AI-driven world. This webinar will educate dental professionals on the dramatic shifts in search engine optimisation (SEO), with a focus on how AI, zero-click searches and visual content are transforming dental practice…
Buy and build versus squat practice

Kunal Thakker weighs up and pros and cons of buying and building an existing practice versus opening a squat practice. Today, we’re going to talk about buy and build versus a squat practice. There’s no real right or wrong answer, and it really comes up to individual choice, but what you need to be really…
Redefining the dental hygienist and therapist – and why it is crucial for dentistry’s future

Gaby Bissett speaks with Caitlin Miller, Bupa Dental Care’s head of hygiene and therapy, who takes a look at the ever-evolving role and the crucial part it plays in dentistry. ‘I think hygienists and therapists are much more readily recognised for their vital role in delivering great patient care. We often see our patients more…
Simplifying the bonding process without compromising on quality

TOKYO, Japan: Efficiency and reliability are key requirements of products used in the modern dental practice. CLEARFIL Universal Bond Quick 2 (Kuraray Noritake Dental) offers a low effort, high-performance bonding solution that provides ideal results. Powered by the company’s proprietary Advanced Rapid Bond Technology, this adhesive allows for quick and easy application that eliminates unnecessary steps […]
Vienna prepares for EuroPerio11 and Gum Health Day activities

VIENNA, Austria: In just two weeks, more than 10,000 oral health professionals from across the globe are expected to gather for EuroPerio11, the leading international congress on periodontal health and dental implantology, taking place from 14 to 17 May. A public awareness event for Gum Health Day will be held in Vienna ahead of the congress, the […]